廉江市人民医院 - 百姓平安健康和谐的家园

您的位置:首页>医院动态
【技术】内镜止血显奇效,精准治疗护健康
发布日期:2024-07-31    浏览次数:747

近期,廉江市人民医院消化内科叶营主任医师团队成功进行多例消化道大出血急诊内镜下止血术,及时救治消化道出血患者。内镜下止血术在消化道出血的止血治疗中发挥至关重要的作用,廉江市人民医院消化内科团队熟练开展内镜下止血相关技术,技术达到国内同级别医院领先水平。

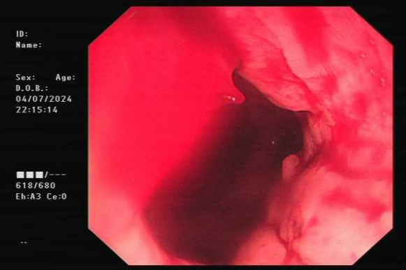
病例一

陈XX,女性,79岁,因“反复呕血黑便1年余,再发2小时”入院,既往有食管胃底静脉曲张破裂出血病史,入院血常规提示血红蛋白84g/L。患者入院后经药物对症治疗仍反复呕血,考虑有活动性出血。消化内科团队行急诊胃镜检查,提示食管胃底静脉曲张,食管近贲门静脉曲张活动性出血,随即为患者行经内镜食管静脉曲张出血套扎术,术后观察无活动性出血,对症治疗后患者已出院。

图片

食管近贲门静脉曲张破裂出血

图片

套扎曲张静脉后出血停止


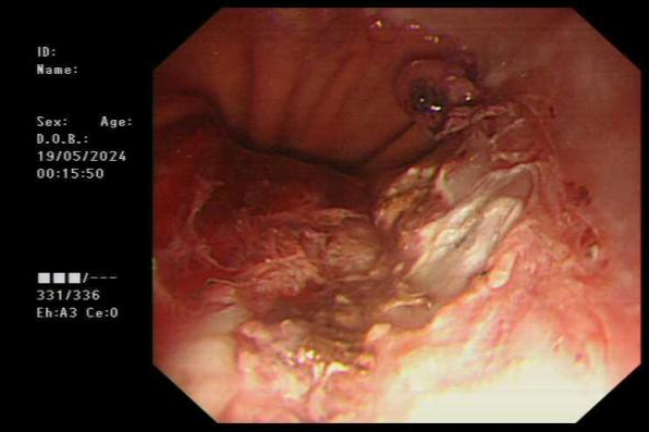
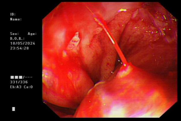
病例二

钟XX,男性,40岁,因“黑便、呕血半天”入院。入院完善相关检查后行胃镜检查,发现食管贲门黏膜多处纵行撕裂并活动性出血,其中一处病灶为喷射样出血,需要及时进行止血治疗。消化内科团队迅速为患者进行内镜下止血治疗,对食管贲门黏膜撕裂出血口给予套扎止血,其余撕裂渗血灶给予电凝止血,成功止血后进行下一步对症治疗,目前患者已出院。

图片

食管贲门黏膜撕裂活动性渗血

图片

内镜下套扎止血

图片

电凝止血

图片

止血后


病例三

郑XX,女性,47岁,因“黑便、呕血半天”入院。入院行胃镜检查提示十二指肠球部溃疡血管残端裸露,为Forrest IIa级出血,有内镜下止血指征。消化内科团队为患者行内镜下十二指肠球部溃疡裸露血管残端电凝止血术,经对症治疗后患者已出院。

图片

十二指肠球部溃疡血管残端裸露

图片

电凝止血


病例四

刘XX,男性,33岁,因“便血7小时”入院。入院后夜间患者突发解大量鲜血便,伴头晕、全身湿冷,当时测得血压为68/40mmHg,考虑消化道大出血、失血性休克。消化内科团队迅速给予补液抗休克、升压、生长抑素收缩内脏血管、止血对症处理,行急诊肠镜检查见结肠散在多处憩室并伴有活动性渗血,随即给予钛夹夹闭憩室,成功止血,对症治疗后患者已出院。

图片

结肠憩室并活动性渗血

图片

结肠憩室并活动性渗血

图片

钛夹夹闭憩室成功止血

消化道出血是消化内科的常见病及多发病,也是消化内科的急症之一。消化道出血常见的临床表现是黑便、呕血或便血,部分可有腹痛、腹胀,出血严重时伴有头晕、乏力、出冷汗甚至晕厥。消化道出血如处理不及时,出血严重时会导致贫血、失血性休克,诱发或加重加心脑血管疾病,甚至导致死亡,危及生命。消化道出血的治疗包括禁食、抑酸(针对上消化道出血)、止血、补充血容量及对症治疗。内镜检查是明确出血部位的最佳检查方法,如发现有活动性出血,可同时进行内镜下止血治疗。和外科手术治疗相比,内镜止血治疗技术具有快速、精准、微创的优点,是目前消化道出血最常用的治疗方式。

廉江市人民医院消化内科开展内镜下止血治疗技术(包括经内镜消化性溃疡出血止血术、经内镜食管贲门黏膜撕裂出血止血术、经内镜食管胃底静脉曲张套扎和(或)硬化治疗术等)已有近20年时间,技术达到成熟。消化内科急诊内镜班始终贯彻生命至上的服务理念,24小时“在线”,根据患者病情迅速进行急诊内镜止血治疗,以专业的技术和高效的服务为群众健康保驾护航。

图片

图片

据了解,廉江市人民医院消化内科位列“2023届县级医院消化内科标杆”第24位,广东省同级别医院排名第三,可以独立、熟练开展省级三甲医院消化内科开展的绝大部分消化内镜手术,包括高技术含量的内镜下消化道肿物切除术(如经内镜黏膜切除术(EMR)、经内镜黏膜下剥离术(ESD)、经内镜黏膜下肿物挖除术(ESE)),治疗贲门失弛缓症的经口内镜下肌切开术(POEM)、胰胆管疾病(胆管结石、胆胰系统肿瘤等)内镜诊疗技术(ERCP)、超声内镜(EUS)检查及穿刺技术、内镜逆行阑尾炎治疗术(ERAT)等。廉江市人民医院消化内科围绕“大病不出县”这一目标,不断加强专科建设,提升诊疗水平,致力于为百姓提供更优质、更高效的医疗服务。

查看电脑版