廉江市人民医院 - 百姓平安健康和谐的家园

您的位置:首页>医院动态
【技术】从命悬一线到重获新生:一场消化内科的生死营救
发布日期:2026-03-03    浏览次数:145

近日,暨南大学附属第一医院北部湾医院(廉江市人民医院)消化内科通过快速响应和精准施治成功抢救一名消化道大出血重症患者,最终患者顺利好转出院。

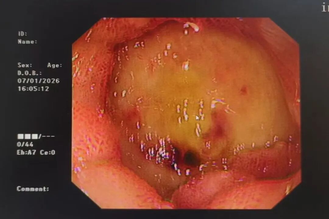
据悉,该患者为男性,58岁,既往有鼻咽癌并肝、肺、骨、左颈部淋巴结多发转移病史,此次因“右上腹疼痛8小时”入住消化内科。入院查体显示,患者急性面容,表情痛苦,腹部膨隆,上腹部腹肌稍紧张,全腹部压痛、反跳痛,肝区有叩击痛,肠鸣音正常。入院后完善相关检查,影像结果提示存在转移瘤可能,需进一步检查明确病因。在住院期间,患者突然黑便,血压急剧下降,脸色白得像纸,整个人陷入休克边缘,生命体征极不稳定。他的血红蛋白仅剩32g/L(正常成年男性为120-160g/L),相当于全身血液濒临“流干”!这对于肝癌并多发转移、身体状况本就十分脆弱的患者而言,生命已悬于一线。危急关头,消化内科团队立即行急诊胃镜检查,发现十二指肠巨大溃疡并出血。内镜医生凭借精准识别与敏锐判断,考虑是动脉出血,未行常规的内镜下止血处理,而是通过完善增强CT检查,确认是十二指肠上动脉假性动脉瘤破裂,这就像体内有一颗随时会爆炸的“小炸弹”。

图片 图片

面对如此凶险复杂的病情,消化内科团队迅速启动应急预案。排除相关禁忌症后,介入团队立即为患者行选择性动脉造影术+胃十二指肠动脉栓塞术。通过微导管精确找到了出血的动脉——那个破裂的“小炸弹”。凭借一根细如发丝的导丝、一次精准的栓塞操作,成功为患者止住了大出血。这场紧急抢救的微创手术,没有开刀,没有大创口,仅通过患者大腿根部一个针眼大小的穿刺点,便完成了高难度的血管“拆弹”,把患者从死亡线上拉了回来。

术后,患者经历了多次输血,在医护人员的精心照料下,他生命体征逐渐平稳,贫血得到纠正,最终好转,顺利康复出院。

出院那天,患者和家人紧紧握着消化内科负责救治的医生的手说:“我以为这次挺不过去了,是你们给了我第二次生命。”后来,患者家属还为救治团队送来一面锦旗,锦旗上金灿灿的大字,承载着患者对医护人员的衷心感激与高度认可。

图片

这场惊心动魄的抢救,是医院消化内科急危重症救治实力的真实写照。消化内科集消化内镜中心及介入团队于一身,是医院成熟急救体系的强力支撑:团队掌握先进的介入技术,临床经验丰富,全程高效协同,能为复杂危重症患者提供“一站式”救治方案;依托24小时急诊绿色通道,急诊内镜团队全天候待命,随时响应急诊需求,能在短时间内为患者实施有效的止血治疗;在致力于“救命”的同时,团队也高度关注患者出院后的生活质量,从急诊止血到后续治疗、从输血支持到营养调理,团队始终将患者的远期生活质量放在心中。在此次病例中,团队为出院后的患者制定了详细的随访计划,指导他如何进行后续的康复和治疗。

特别提醒

消化道大出血是消化内科最凶险的急症之一,通过这个病例,医生特别提醒:

平素黑便、便血不是小问题,需引起重视。很多人认为黑便问题不大,便血可能就是痔疮,殊不知消化道溃疡、肿瘤、血管病变都可能表现为便血、黑便。消化道出血发病急、进展快、死亡率高,尤其是老年人、有基础疾病的人群,更是高危群体,务必提高警惕,一旦出现呕血、黑便、头晕、心慌等症状,切勿拖延,一定要立即前往医院就诊。

如果您或家人有消化道方面的问题,欢迎来医院咨询就诊。早检查、早诊断、早治疗,别让小问题拖成大麻烦。

暨南大学附属第一医院北部湾医院(廉江市人民医院)消化内科简介

设备配置

科室配置有奥林巴斯电子胃镜、电子肠镜、十二指肠镜、超声内镜、小肠镜、胶囊内镜、氩气刀、C13-尿素酶呼气试验幽门螺杆菌检测仪、GE-C臂、胃肠电图仪等众多先进的专科诊治设备。

诊疗范围

胃食管反流病、贲门失驰缓症、食管肿瘤、食管裂孔症、急慢性胃炎、功能性消化不良、消化性溃疡(胃溃疡、十二指肠溃疡)、胃癌、上消化道良性肿瘤、吸收不良综合症、溃疡性结肠炎、克罗恩病、肠结核、缺血性结肠炎、急性出血性坏死性肠炎、小肠肿瘤、大肠息肉、大肠腺瘤、大肠恶性肿瘤、伪膜性结肠炎、肠易激综合征、慢性假性肠梗阻、消化道恶性淋巴瘤、消化道出血、非酒精性肝病、自身免疫性肝病、肝硬化、原发性胆汁性肝硬化、食管胃底静脉曲张性出血、胆囊炎、胆石症、胰腺炎等消化系统疾病。

技术擅长

科室能熟练开展各种消化系统疾病的保守治疗(胆石症等)、(麻醉)胃、肠镜检查、消化道超声内镜检查、消化道胶囊内镜检查、小肠镜检查、幽门螺旋杆菌(HP)13C呼气检查、经内镜消化道异物取出术、经内镜鼻-空肠营养管置入术、经内镜消化道出血止血术、经内镜消化道息肉治疗术(APC、PSD、EMR)、消化道早癌筛查(放大内镜和染色内镜)、经内镜消化道早癌治疗术(EMR、ESD)、经内镜消化道肿物切除术(ESD、EFR、ESE、STER)、经内镜贲门失弛缓症治疗术(内镜下球囊扩张、POEM)、经内镜消化道狭窄扩张/支架植入术、经内镜食管-胃静脉曲张硬化/套扎术、经胃镜胃造瘘术、经内镜痔疮治疗术、经内镜逆行阑尾炎治疗术(ERAT)、经内镜逆行胰胆管造影术(ERCP)及相关治疗(胆总管结石、胰管结石、梗阻性黄疸等)。

地址及电话

      门诊地址:门诊楼5楼15、16、17号诊室

      消化内镜室地址:门诊楼4楼

      科室地址:住院楼13楼  

      科室电话:0759-6628696

查看电脑版