廉江市人民医院 - 百姓平安健康和谐的家园

您的位置:首页>医院动态
【技术】廉江市人民医院成功救治极危重肝硬化食管胃底静脉曲张破裂出血合并严重脾亢患者
发布日期:2024-12-13    浏览次数:321

    近日,廉江市人民医院消化内科叶营主任医师、赖广顺副主任医师与团队成功救治一名极危重肝硬化食管胃底静脉曲张破裂出血合并严重脾亢患者。

图片

    据了解,患者为50岁女性,因“呕血11月余,黑便1天”于9月24日入院。患者有乙型肝炎后肝硬化病史8年余,未规律治疗。近期连续2次因“上消化道大出血”到上级某三甲医院救治,因病情过于危重,手术风险过大,上级医院未进行消化内镜手术治疗及外科手术治疗。此次再次因上消化道大出血,慕名到廉江市人民医院消化内科就诊。完善相关检查,该患者诊断为肝硬化失代偿期、食管胃底静脉曲张破裂出血、极重度贫血、脾功能亢进明确。患者入院后经制酸、奥曲肽降低门脉压力、止血药物对症治疗仍反复呕血,提示活动性出血。药物保守治疗作用不大,且患者极重度贫血,病情危重,随时有死亡的风险。

图片

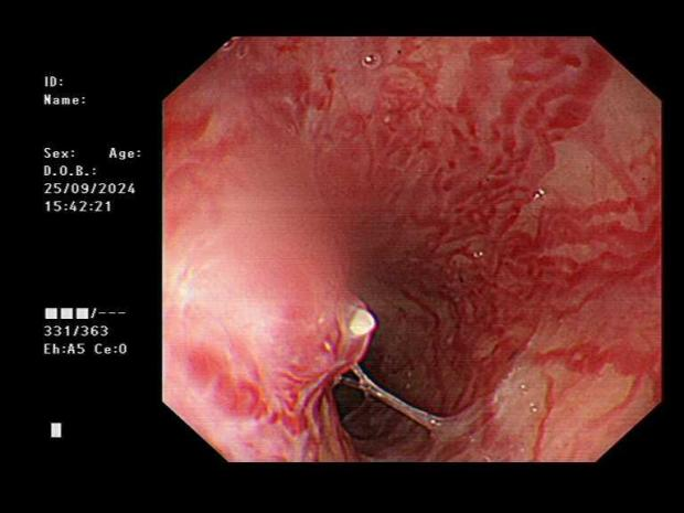
    消化内科团队与患者及家属充分沟通病情后,面对高风险的情况,秉持“救死扶伤”的宗旨,顶着压力冷静沉着为患者行急诊胃镜检查。胃镜显示食管中下段可见四条静脉曲张,最大直径约1.0cm,交通支形成,红色征阳性,食管中段距门齿30cm及下段距门齿38cm各见一处白色血栓头;下段距门齿32cm偏后壁静脉曲张可见一破裂口并活动性喷射样出血。经患者家属签字同意,消化内科团队凭借熟练、过硬的内镜技术,顺利完成“经内镜食管静脉曲张破裂出血硬化止血术+经内镜食管静脉曲张套扎止血术”。

图片

食管静脉曲张白色血栓头

图片

食管静脉曲张喷射样出血

图片

食管静脉曲张套扎后

图片

食管静脉曲张硬化术中

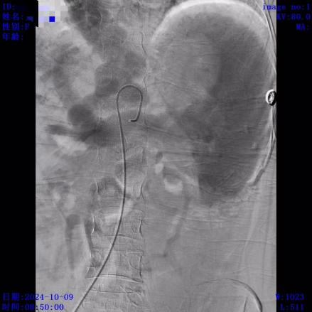
    患者经内镜止血术后出血停止,返回病房继续对症治疗。术后复查患者血常规提示血红蛋白与术前相比有所回升,但血小板持续低下,最低达25(10^9/L),考虑与脾大、脾功能亢进(简称脾亢)有关。血小板是人体负责止血的血细胞,重度血小板低下会导致皮肤/牙龈出血、伤口渗血不止甚至严重内脏出血,严重影响生命健康,但脾亢常规药物保守治疗效果不明显,且血小板寿命短,输注血小板也仅仅能短期维持,非长久之计。结合临床,患者有行部分脾动脉栓塞术(PSE)以减轻脾亢指征。经患者及家属签字同意,10月9日由消化内科介入团队为患者施行经皮脾动脉部分栓塞术,过程顺利。术后经消化内科医护团队精心治疗,患者日前已顺利出院。出院后随访至今患者病情稳定,恢复良好,复查血常规提示血小板升至 72(10^9/L)。

图片

脾血管造影

图片

脾栓塞前

图片

脾栓塞后

    廉江市人民医院消化内科位列“2023届县级医院消化内科标杆”第24位,广东省同级别医院排名第三,可以独立、熟练开展省级三甲医院消化内科开展的绝大部分消化内镜手术,包括高技术含量的内镜下消化道肿物切除术(如经内镜黏膜切除术(EMR)、经内镜黏膜下剥离术(ESD)、经内镜黏膜下肿物挖除术(ESE)),治疗贲门失弛缓症的经口内镜下肌切开术(POEM)、胰胆管疾病(胆管结石、胆胰系统肿瘤等)内镜诊疗技术(ERCP)、超声内镜(EUS)检查及穿刺技术、内镜逆行阑尾炎治疗术(ERAT),部分脾动脉栓塞术(PSE)、肝动脉灌注化疗等介入技术,以及内镜下止血治疗技术(包括经内镜消化性溃疡出血止血术、经内镜食管贲门黏膜撕裂出血止血术、经内镜食管胃底静脉曲张套扎和(或)硬化治疗术等)。廉江市人民医院消化内科围绕“大病不出县”这一目标,不断加强专科建设,提升诊疗水平,致力于为百姓提供更优质、更高效的医疗服务。


科普知识:

    肝硬化是由多种病因引起的以弥漫性肝细胞坏死、肝细胞异常再生、血管新生、纤维组织大量增生和假小叶形成为组织学特征的进行性慢性肝病。肝硬化以肝功能减退和门静脉高压为特征性表现,失代偿期可出现多种并发症,门静脉高压有3大临床表现:食管胃底静脉曲张、腹水、脾功能亢进。其中食管胃底静脉曲张破裂出血是上消化道出血中病情最危急、最凶险的首位原因,如不能及时止血,患者会因大量失血后出现失血性休克,诱发或加重心脑血管疾病,甚至导致死亡。食管胃底静脉曲张破裂出血的治疗包括禁食、抑酸、止血、降低门脉压力、补充血容量及对症治疗,其中最直接、有效的方法是内镜直视下针对食管胃底静脉曲张进行套扎止血和(或)组织胶硬化止血处理,可达到立竿见影的止血效果,是目前国内外广泛运用的针对食管胃底静脉曲张破裂出血的微创止血治疗方式。

    脾亢是肝硬化失代偿期的另一常见临床表现。患者可因脾脏明显肿大出现左上腹部胀痛,脾亢后出现血小板明显降低导致患者凝血功能障碍,出现伤口难以愈合甚至内脏出血或弥漫性血管内出血(DIC)等临床危急情况,严重脾亢会出现三系细胞减少(白细胞、红细胞、血小板),导致患者抵抗力低下容易出现感染、严重贫血及DIC情况,危及患者生命健康。目前临床上针对脾亢的治疗比较有效的办法是部分脾动脉栓塞术(PSE)。PSE是通过在脾动脉内注入栓塞剂,使脾动脉的血流减少或中断,从而缩小脾脏、减轻脾功能亢进等症状,用于治疗脾功能亢进、脾大。

查看电脑版