廉江市人民医院 - 百姓平安健康和谐的家园

您的位置:首页>医院动态
【技术】暨南大学附属第一医院北部湾医院(廉江市人民医院)心血管内科成功救治主动脉夹层老年患者
发布日期:2026-01-27    浏览次数:133

近日,暨南大学附属第一医院北部湾医院(廉江市人民医院)心血管内科团队凭借精湛技术与高效协作,为一名主动脉夹层老年患者成功施行胸主动脉覆膜支架腔内隔绝术+左锁骨下动脉覆膜支架植入术,精准打通患者体内生命通道,为患者赢得生机与希望。

据了解,该名患者为老年男性,既往有慢性胃炎、高血压病史,于2026年1月3日无明显诱因突发胸痛,以胸骨中下段为甚,呈剧烈疼痛,伴大汗淋漓、烦躁不安及恶心症状,持续数分钟无法自行缓解,遂来医院就诊。入院后急诊完成首份心电图检查,提示“窦性心动过缓,ST-T段改变”,考虑到患者症状凶险,为其进行急诊CTA检查,最终确诊为:主动脉夹层(DeBakey Ⅲ型,Stanford B型),高血压危象。给予控制血压、止痛等积极抢救处理后,患者被转入心血管内科进一步治疗。

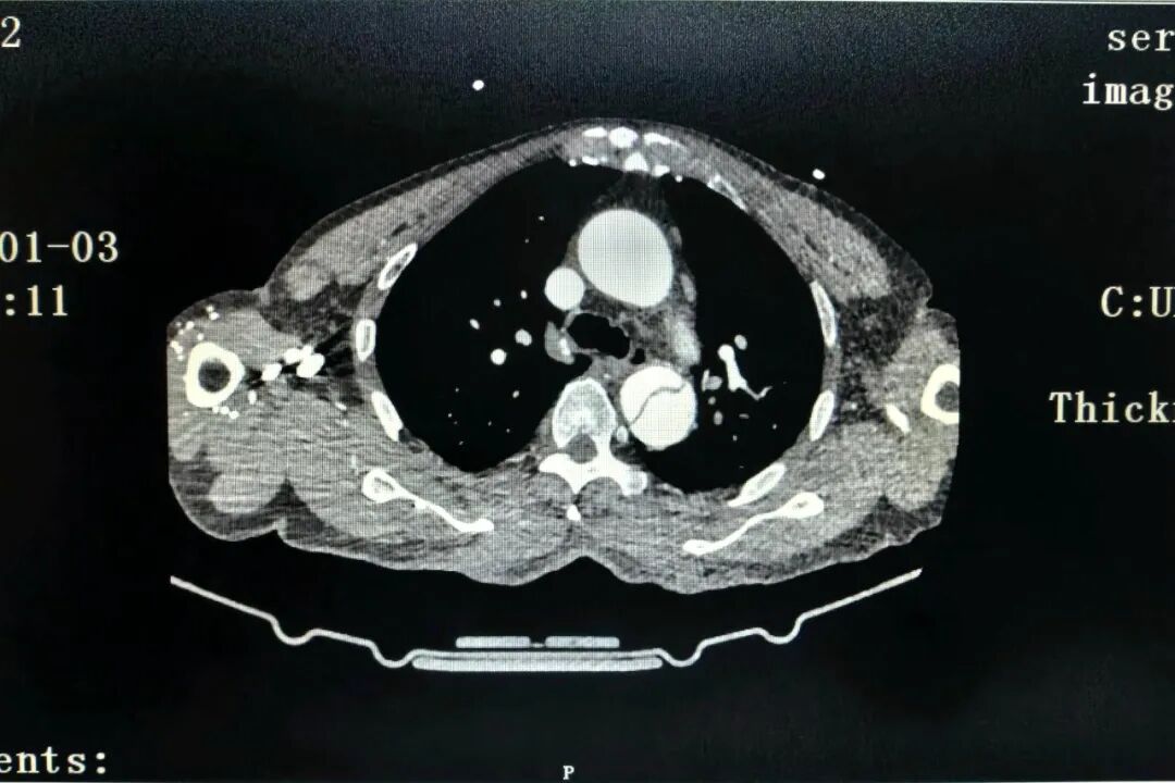
图片图片

(术前CT造影)

患者病情危急、进展迅猛,心血管内科团队第一时间组织多学科讨论,综合其年龄、基础疾病与病情特点,全面评估手术风险后,最终决定采用胸主动脉覆膜支架腔内隔绝术联合左锁骨下动脉覆膜支架植入术的微创治疗方案。经过周密的术前准备,心血管内科团队为患者施行手术,术中精准释放覆膜支架,成功重建血流通路。术后造影显示,胸主动脉支架与左锁骨下动脉分支支架扩张充分,贴壁良好,未见夹层及内漏,远端血流良好,手术达到预期效果。整台手术历时约两小时,术后患者安全返回病房。

图片

(术后主动脉造影)

主动脉夹层被称为“最危险的心血管疾病之一”,最常见的症状是持续性撕裂样剧烈疼痛,疼痛部位以胸痛、背痛及腹痛为主。该疾病多发生于高血压患者,具有起病急、进展快、病死率高的特点。此次手术采用的胸主动脉覆膜支架腔内隔绝术是目前治疗Stanford B型主动脉夹层的主流微创介入技术,其核心优势在于无需开胸,通过血管腔内操作即可完成病变隔绝,具有创伤小、出血少、恢复快等特点,尤其适合年龄较大、基础病较多的患者。该项技术难度高,颇具挑战性,对手术团队的操作精度和技术水平提出极高要求。

此次手术的成功,集中展现了暨南大学附属第一医院北部湾医院(廉江市人民医院)心血管内科在主动脉夹层救治领域的精湛技术和深厚的临床积累。未来,科室将持续推动技术创新与服务优化,以更专业的诊疗、更温暖的服务,全力守护区域百姓的生命健康。

查看电脑版