廉江市人民医院 - 百姓平安健康和谐的家园

您的位置:首页>医院动态
【医院技术】我院完成粤西首例超声引导下经皮肝穿刺置管序贯硬化治疗肝囊肿
发布日期:2026-04-20    浏览次数:15

肝囊肿只能一刀切吗?其实,一个小“针眼”就能解决大问题。近日,我院副院长、肝胆外科学科带头人刘志龙教授成功完成粤西首例超声引导下经皮肝穿刺置管序贯硬化治疗肝囊肿,为肝囊肿患者带来了治疗新选择。

近日,55岁的江阿姨(化名)因“发现肝囊肿4年余”来我院就诊。4年前,她在体检时发现肝囊肿,当时囊肿较小,一直采取保守治疗,每年定期复查肝胆彩超。最近,她常感到上腹隐隐作痛,并伴有饭后饱胀感。复查上腹CT提示,肝囊肿已增大至6.5cm×5.5cm。外院医生建议进行手术开窗引流治疗。江阿姨听说要手术,非常焦虑,担心创伤太大。后来她了解到,我院刘志龙教授可以实施超声引导下的肝囊肿硬化治疗,无需开刀,只需借助一个“小针眼”就能解决囊肿,于是前来我院就诊。

患者的肝囊肿虽为良性,但体积较大。如果继续发展,可能压迫肝组织导致肝萎缩,还有可能出现囊肿破裂出血、感染,或囊肿增大压迫周围器官引起不适等问题。目前,肝囊肿的常规治疗方法包括开窗术,以及穿刺抽液后直接注入硬化剂进行硬化治疗。开窗术存在创伤大、费用高、住院时间长等缺点;而传统肝囊肿硬化治疗则存在复发率高、单一硬化剂用量大、副作用明显等不足。刘志龙教授结合多年临床经验,创新性地提出了超声引导下经皮肝穿刺置管序贯硬化治疗肝囊肿的技术。针对大囊肿,该方法采取“囊肿穿刺置管引流 + 两种硬化剂序贯冲洗”,综合了无水乙醇反复冲洗的优点和聚桂醇可保留在体内的优点,使两种药物优势互补,达到双重硬化效果。该技术已获得广东省卫生健康委员会卫生健康适宜技术推广项目,入选国家卫生健康技术推广应用信息服务平台技术备选库,被中国民族卫生协会列入“卫生健康技术重点推广项目”,并获得国家知识产权局授予的实用新型专利证书,目前已在多家医疗单位推广应用。

图片

图片  图片

图片

手术前,刘志龙教授通过详细问诊、全面体格检查及辅助检查结果分析,对患者病情做出了充分评估。他还亲自操作肝脏超声,精确评估肝囊肿状况。结果显示,患者肝囊肿直径超过5cm且伴有上腹不适,硬化治疗指征明确。刘教授随后耐心地与患者及家属沟通病情与手术方案,逐一解答疑问,使其紧张情绪得到极大缓解,患者及家属最终欣然同意接受治疗。

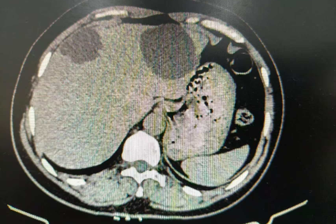
图片

   术前上腹CT

图片

术前超声评估

手术在局部麻醉下进行,全程由超声实时引导。医生采用一步法于上腹穿刺,将8F引流管置入左肝囊肿腔内,引流干净囊液后,进行序贯硬化治疗。整个治疗过程仅需数分钟,患者未出现腹痛、腹胀、发热、醉酒样反应等不良反应。

图片

术中操作

图片图片

肝囊肿硬化治疗

图片图片

硬化治疗前、后囊液

图片图片

传统腹腔镜肝囊肿开窗引流术

患者感慨:“真的太神奇了!困扰我这么久的肝囊肿,在肚子上打个针就治好了!”

粤西领先的微创诊疗水平

图片

刘志龙教授是我院副院长兼肝胆外科学科带头人,暨南大学附属第一医院实体瘤消融中心常务副主任(医学博士、副主任医师、研究生导师)。他所提出的超声引导下经皮肝穿刺置管序贯硬化治疗肝囊肿技术,已在全国多家医院推广,并完成了大量肝囊肿序贯硬化治疗手术,术后随访均取得良好疗效。该技术所需设备和材料简单,易于掌握,特别适合在县级医疗单位推广,能够使肝囊肿的治疗更加简单化、标准化,减轻社会及个人的经济负担,符合国家“小病不出乡,大病不出县,医疗在基层”的发展目标。让粤西百姓无需前往大城市,就能享受到先进的微创治疗技术。

(刘志龙教授出诊时间:每周三)

查看电脑版